Weitere Informationen
zum Thema Kniechirurgie
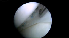
Kniechirurgie
Arthroskopie =
Gelenkspiegelung
Diagnostische und
resezierende Arthroskopien
und transarthroskop.
Meniskusresektion und -
refixation.
Deutschsprachige
Gemeinschaft
für Arthroskopie
www.aga-online.de/
Handchirurgie
|
Fußchirurgie
|
Kniechirurgie
Dr. med. Carlo Bussi
Orthopäden
in Bad Friedrichshall auf
jameda
+49 (0) 7136 24373
Montag
8:00-13:00 Uhr
15:00-18:00 Uhr
Dienstag
8:00-13:00 Uhr
14:00-17:00 Uhr
Mittwoch
8:00-13:00 Uhr
Donnerstag
8:00-12:00 Uhr
13:00-17:00 Uhr
Privatsprechstunde
Freitag
8:00-13:00 Uhr
sowie nach Vereinbarung
SPRECHZEITEN UND TERMINE
Chirotherapie
Sportmedizin
Kinderorthopädie
Kinderorthopädie
Schmerztherapie
Schmerztherapie
Osteoporose-Therapie
Operationen
Unfall-Ärzte
Leistungsspektrum
Leistungsspektrum
Arthrose-Therapie
Chirotherapie
Sportmedizin
Osteoporose-Therapie
Operationen
Unfall-Ärzte
Arthrose-Therapie
AMBULANTE UND STATIONÄRE
OPERATIONEN
Impressum
Datenschutz
Friedrichshaller Str. 8, 74177
Bad Friedrichsha
ll
Telefon:
07136 / 24373
Fax:
07136 / 25752
E-Mail:
info@orthopaede-heilbronn.de
Größere Karte anzeigen
Copyright
2024
Rechtliches
Weitere Informationen
zum Thema Kniechirurgie
Kniechirurgie
Arthroskopie = Gelenkspiegelung
Diagnostische und
resezierende
Arthroskopien und
transarthroskop.
Meniskusresektion
und -refixation.
Copyright
2024
Friedrichshaller Str. 8
74177
Bad Friedrichsha
ll
Telefon: 07136 / 24373
Fax:
07136 / 25752
E-Mail: info@orthopaede-heilbronn.de
Impressum
Rechtliches
http://www.fuss-chirurgie.de/DAF
http://www.gesellschaft-fuer-fusschirurgie.de/
+49 (0) 7136 24373
Montag
8:00-13:00 Uhr
15:00-18:00 Uhr
Dienstag
8:00-13:00 Uhr
14:00-17:00 Uhr
Mittwoch
8:00-13:00 Uhr
Donnerstag
8:00-12:00 Uhr
13:00-17:00 Uhr
Privatsprechstunde
Freitag
8:00-13:00 Uhr
sowie nach Vereinbarung
SPRECHZEITEN UND TERMINE
LEISTUNGSSPEKTRUM
Operationen
Unfallmedizin
Schmerztherapie
Chirotherapie
Kinderorthopädie
Arthrose-Therapie
Osteoporose-Therapie
Sportmedizin
Datenschutz
Handchirurgie
Fußchirurgie
Kniechirurgie
AMBULANTE UND STATIONÄRE
OPERATIONEN
START
LEISTUNGSSPEKTRUM
UNSERE PRAXIS
SERVICE
IMPRESSUM
RECHTLICHES
DATENSCHUTZ